
「歯が抜けたまま、しばらく放置していても問題ないですか?」
「見た目以外に何か影響はありますか?」
といったご質問をいただくことがあります。
患者さん
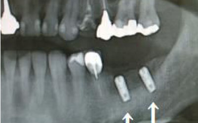
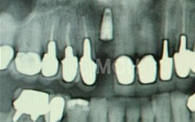
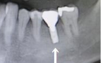
歯が抜けたままにしていたら、隣の歯が動いてしまいました。どうすればよいでしょうか?
Dr.武田
軽度の歯のズレであれば調整や詰め物で対応可能ですが、大きく傾いてしまった場合は矯正治療や被せ物が必要になることがあります。
ズレがひどくなる前に、できるだけ早めの検査と治療を受けることをおすすめします。
患者さん
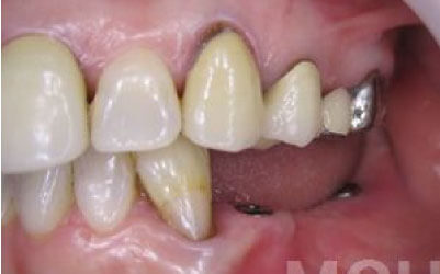
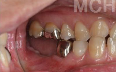
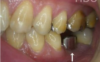
目立たない部分であれば、保険適用の銀歯のブリッジとインプラントはどちらも同じようなものですか?
Dr.丸尾
ブリッジとインプラントでは、周りの歯の寿命に大きな違いがあります。ブリッジは支えとなる歯を健康でもかなり削らなければならず、さらに噛む力が約1.5倍かかるため、その歯の寿命が短くなってしまいます。実際のデータでは、ブリッジの支えとなった歯の68%が10年以内に抜歯に至っています。
歯が抜けた後の治療には、
インプラント・ブリッジ・入れ歯の
3つがあります。
※左右にスクロールしてご覧ください
|
インプラント
|
ブリッジ
|
入れ歯
|
|
|---|---|---|---|
| 歯を削る | 削らない | 削る | 少しだけ削る |
| 周りの歯への 力の負担 |
負担をかけない | 非常に大きい | 大きい |
| 使用感 | 自分の歯に近い感覚 | 銀歯の場合は目立つ | 異物感を感じやすい |


誰でも噛むときには、歯に何十キロもの力がかかっています。歯の本数が減るほど、残っている歯にかかる負担は大きくなります。
ブリッジ治療の場合も、失った歯にかかっていた力を前後の歯が支えるため、結果として残っている歯には、通常の1.5〜2倍ほどの負荷がかかってしまいます。

入れ歯の場合、バネをかけている歯や残っている歯に大きな負担がかかります。多くの方が無意識のうちに残った歯で噛むため、その歯にかかる回数や力が過剰になり、結果的に歯が折れるなど寿命を縮めてしまうことがあります。一方、インプラントは人工の歯根を骨に直接埋め込むため、力を骨が受け止めることができ、残っている歯への負担は格段に少なくなります。

ブリッジなどの治療では、前後の歯を大きく削らなければならず、場合によっては虫歯でなくても神経を抜くことがあります。神経を抜いて被せ物をすると、その歯は一気に寿命の終わりに近づいてしまうのです。
一方でインプラント治療なら、前後の歯を削ったり神経を取ったりする必要がなく、健康な歯をできるだけ守ることができます。歯の寿命を延ばすためにも、なるべく歯を削らないことは非常に重要です。

入れ歯は毎食後に外して歯や入れ歯をきちんとお手入れする必要があり、バネが見えてしまうため見た目を気にされる方もいらっしゃいます。また、取り外し式のため天然の歯のように使うにはどうしても限界があります。
一方、インプラントは固定式なので取り外す手間がなく、使いやすさも大きく違います。見た目も自然で、周りの人に気づかれにくいのが特徴です。
インプラント治療について、
ぜひ知っておいていただきたいことが
いくつかあります。
まず、インプラント治療は
健康保険の対象外となっている点です。
また、治療を始める前にしっかりとした診査・診断を
行うことが非常に重要です。
具体的には、以下のような項目を総合的に検討したうえで
治療計画を立てていきます。

安全で長持ちするインプラント治療を実現するためには、
正確な検査が欠かせません。
10年、20年先も健康で快適なお口の状態を維持できるよう努めています。
インプラントを成功させる
5つのPOINT
1
CLINICAL ORAL
IMPLANTOLOGY
メーカーによる認定とは異なり、学会が定めた症例数や治療経過などの厳しい基準を満たし、さらにテストに合格した歯科医師だけが認定されます。
2
経験の違いは、治療の質の違いです
3

アストラテックやオステムなどのインプラントメーカーから表彰されております。
4

1人の歯科医師の視点でなく、複数のドクターでCTの診断や計画を立てています。
5
感染対策は徹底しており、ニュースで話題になるような使いまわしは
一切行っておりませんので、
ご安心ください。
私たちは、インプラントだけでなく
残っている歯も大切にしています。
インプラント治療の
3つのリスクと対策

通常、インプラントの適正な
年間症例数は100~200件です。
当院はこれを超えないことを
大切にしています。
医療は工業製品の販売とは異なり、歯科医師が一人ひとりの患者さんとしっかり向き合うことで成り立ちます。
そのため、私たちは対応可能な範囲を超える治療は行いません。
*横にスライド/スワイプしてご覧ください
当院のインプラント治療費は明確に設定されているのでご安心ください。

治療費で不安が無いように、全ての費用が含まれる明確な治療費(※)となっています。
患者さん
治療費の支払いはいつ行えばよいですか?
Dr.西村
治療開始時に総額の半分をお支払いいただき、残りの半分は治療の後半にお支払いいただきます。
患者さん
費用を一括でお支払いするのが難しい場合は、どのようにすればよいでしょうか?
Dr.明石
治療費は2回に分けてお支払いいただけます。さらに、多くの回数で分割払いをご希望の場合は、デンタルローンをご利用いただけます。クレジットカードの分割払いよりも金利が低いため、分割払いをされるならデンタルローンの方がお得です。
スルガ銀行のデンタルローンが
ご利用いただけます。




「もっと良い治療を受けたいけれど、先生に費用のことを相談しづらい…」という方も、どうぞご安心ください!」
クリニックを介さず、銀行と直接ローン契約ができます!
デンタルローンの申し込みはクリニックへの相談が不要です。銀行の調査によると、デンタルローン利用者の約40% が自分で調べて申し込んでいます。
当院はローン契約に関わらないため、ローンの検討状況や審査内容、お借入れ額が医院に知られることはありません。費用についてご相談の際には、デンタルローンのパンフレットをお渡ししています。
「デンタルローン」なら、
一般的なクレジットカードの
リボ払いや分割払いより低金利だから返済総額や
月々の返済額が抑えられる!
患者さん
医療費控除は使えますか?
Dr.齋藤
医療費控除の対象となるため、実質的に割引のような効果があります。戻ってくる金額は所得税率や他の医療費の合計額によって変わりますが、インプラント費用の約30%が医療費控除で還付される場合があります。
詳しくは医療費控除の説明チラシをご参照ください。

インプラント治療は安心・安全を第一に考え、長く快適に使っていただけることを目指しています。
万が一トラブルが起きた際にも、安心していただけるよう保証制度を設けております。
皆様により安心して治療を受けていただくための体制です。

※当法人では2種類のインプラントを部位によって使い分けております。
インプラント本体は5年間、100%クリニック負担にて保証。
その後、6年⽬より段階的にクリニック負担割合は減りながら、10年間の保証。
上部構造物は3年間、100%クリニック負担にて保証。


定期的なメンテナンスを受けているにもかかわらずインプラントにトラブルが生じた場合は、使用期間に応じて修理や再製作の費用を当院が負担いたします。
また、その後も継続してメンテナンスを行うことで、長く安心してお使いいただけます。

インプラントだけの安いインプラント
専門の医院で受診する場合には
注意してほしいことが3つあります。
医院選びのポイント01
医院選びのポイント02
医院選びのポイント03



Dr.西山
激しい運動や飲酒は、3日間ほど控えてください。
お風呂は1~2日間はシャワー程度にしていただき、通常の日常生活には支障はありません。

Dr.御郷
基本的に成人の方であれば、どなたでも治療を受けていただけます。
ただし、重大な全身疾患がある場合は、担当医にご相談ください。

Dr.杉山
奥歯が1〜2本程度の場合、身体に負担のかかる仕事でなければ、翌日からの仕事に支障はありません。
手術当日でも、デスクワークなら問題なく働いている方が多いです。

Dr.角
麻酔を施しますので、痛みは全く感じません。ご安心ください。

Dr.中嶋
天然の歯と同じように、3ヶ月に1回のメンテナンスが推奨されます。
定期的なメンテナンスで、インプラントと既存の歯を長く維持していきましょう。

Dr.宮田
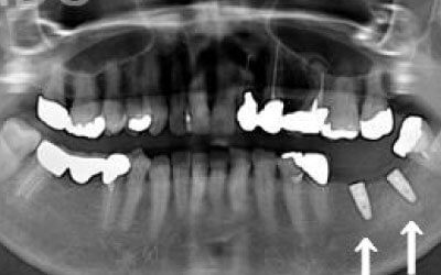
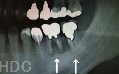
歯科の統計データによると、インプラントは10年後に90~95%の確率で残っています。
一方、ブリッジは10年後に30~35%の確率で残っています。
ブリッジがダメになる場合、その多くは支えとなっている歯が悪化し、最終的に抜歯となることがほとんどです。

Dr.西山
状況によりますが、治療期間はおおよそ2~3ヶ月程度です。毎週通院する必要はありません。
また、インプラント治療の前に骨を増やす治療が必要な場合は、さらに約3ヶ月ほど追加でかかることがあります。

Dr.御郷
CTでは、骨や歯の状態を3Dで確認でき、正確な距離の測定も行えます。
骨の厚さや傾き、神経の位置などを事前にしっかりと測定することで、安全にインプラントを行うことができます。

Dr.杉山
医療費控除を利用することができるので、実質的には割引を受けたような形になります。
所得税率や総医療費にも影響されますが、インプラント治療費の20~30%程度が医療費控除で戻ってくる場合があります。
※詳しくは医療費控除の詳細チラシをご覧下さい。

Dr.角
治療費は、2回に分けてのお支払いが可能です。
さらに、もっと回数を増やして分割払いを希望される場合は、デンタルローンを利用する方法もあります。
クレジットカードの分割払いよりも金利が低いため、分割を選ぶ場合はデンタルローンの方がよりお得です。
詳細については、デンタルローンの銀行サイトをご確認ください。
https://www.surugabank.co.jp/reserved/landing/dentalplus/

Dr.中嶋
治療開始時に総額の半分をお支払いいただき、残りの半分は治療の後半でお支払いいただく形になります。

Dr.宮田
歯周病の進行具合によりますが、インプラント治療は可能です。
ただし、まずは歯周病の検査を行い、しっかりと治療を終わらせることが前提となります。
さらに、噛み合わせの調整や、治療後の定期的なメンテナンスを行うことが、長期的にインプラントを維持するためには重要です。

Dr.西山
大きく3つポイントがあります。
1 料金の落とし穴
ホームページで安いインプラント料金が掲載されていても、実際に受診すると「○○さんの状態ではこのインプラントは適用できません」と言われ、結果的に高額な治療になることがあります。
そのため、インプラント専門医院を選ぶ際には、かかりつけの歯科医院から紹介を受けた医院を選ぶことをお勧めします。
2 メンテナンスに通えるか?
インプラント治療は、単に入れるだけではなく、どれだけ長く維持できるかが重要です。そのために欠かせないのがメンテナンスです。
ただ、インプラント専門医院では、治療後もずっとその医院に通ってメンテナンスを受ける必要があるため、時間や労力がかかります。
面倒で通院を怠ると、保証が受けられなくなることも多いです。
ですので、治療後にその医院でメンテナンスを続けやすいかどうかがポイントになります。
3 責任が曖昧で保証してくれないことも
インプラント専門医院では、メンテナンスを行ってくれず、地元のかかりつけ歯科医院でのメンテナンスを推奨される場合があります。
問題が起きなければ問題ないのですが、歯周病や噛み合わせの影響でインプラントがダメになるケースでは、責任の所在が曖昧になり、インプラントの保証が受けられないこともあるので、注意が必要です。
お口の問題は、さまざまな要因が絡み合っています。
そのため、通常の治療やメンテナンスも行っている医院で治療を受けるか、またはインプラント専門医院に通う際は、かかりつけの歯科医院からの紹介を受けて行くのが安心です。
お体に関わることですし、工業製品のように「壊れたら新しいものに交換」とはできませんので、将来的なことをしっかり考えて慎重に決断することが大切です。

Dr.御郷
基本的には、虫歯や歯周病治療も行っている歯科医院をお勧めします。
というのも、インプラント治療は、単に抜けた歯の部分にインプラントを入れるだけではなく、残っている歯の歯周病や噛み合わせの問題も考慮して治療計画を立てる必要があるからです。
そのため、虫歯や歯周病、噛み合わせ、メンテナンスなど、すべてを見てくれるかかりつけの歯科医院での治療が理想的です。
もしかかりつけの歯科医院でインプラント治療を行っていない場合は、紹介を受けてインプラント専門医院で治療を受けるのが良いでしょう。

Dr.杉山
お口の状態や噛み合わせによって異なるため一概には言えませんが、一般的には奥歯、特に大臼歯と言われる一番奥とその隣の二番目の歯の部分がお勧めです。
この2本の奥歯は、噛み合わせの力の60%以上を支えているため、ここをインプラントでしっかり治療することが望ましいです。

Dr.角
残っている歯にとって、ブリッジ治療は非常にもったいない方法です。
その理由は、ブリッジを作るために前後の歯を大きく削らなければならないからです。
場合によっては、神経を取る必要があることもあります。
これだけ歯にダメージを与えるため、その歯の寿命が大きく縮むことになります。
もし数年後にインプラントを考えているのであれば、ブリッジ治療をする前にインプラントを選んだ方が圧倒的に有利です。

Dr.中嶋
骨が薄い場合、そのままインプラントを行うのはお勧めできません。
ただし、事前に骨を増やす治療を行ったり、インプラントと同時に骨を増やす治療を行えば、インプラントは可能です。

Dr.西山
インプラント治療でのリスクは3つあります。
1 インプラントと骨が結合しないリスク
工業製品とは異なり、人間の身体は様々な反応を示すため、約100人に1人の確率でトラブルが起こることがあります。
ただし、その場合でも、使用するインプラントのメーカーを変えることで、ほとんどの場合問題なく結合しますので、ご安心ください。
2 神経を傷つけるリスク
インプラント治療では、顎の骨内を通る神経を傷つけるリスクがあります。
ただし、事前にCTで三次元的に神経との距離を測り、治療計画を慎重に立てれば、心配することはありません。
また、当院では過剰に削らないようにするためのストッパーも使用しています。
3 歯周病でインプラントが抜けるリスク
細菌(歯垢)によって、支えとなる歯茎や骨が衰えることがあります。
つまり、インプラント治療だけでなく、残っている歯の歯周病の検査や治療も非常に重要です。

Dr.宮田
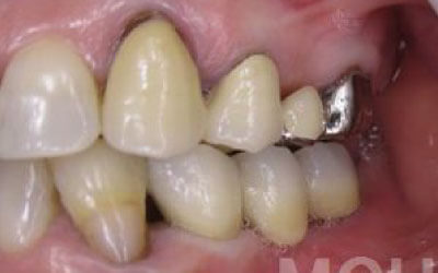
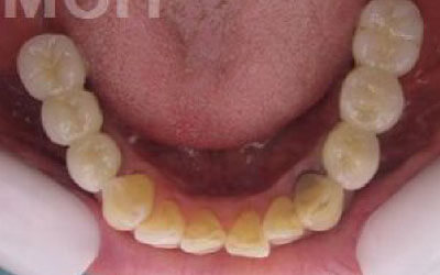
インプラントのメリットは、入れ歯のように取り外す必要がなく、自分の歯のように自然に噛むことができる点です。
さらに一番の利点は、周囲の歯の寿命を縮めないことです。
ブリッジや入れ歯では、他の歯に負担がかかり、最終的に歯が連鎖的に抜けていくことがあります。
しかしインプラントは、周囲の歯に一切負担をかけないため、残っている歯に最も優しい治療方法です。

Dr.御郷
最も大きな違いは、前後の歯の寿命に影響を与えることです。
ブリッジでは、抜けた歯の前後の歯を大きな虫歯と同じくらいまで削らなければならず、
また、抜けた歯の代わりに前後の歯がその力を支えるため、常に1.5倍の負荷がかかります。
1)ブリッジ
2)歯を大きく削る+支えの歯に1.5倍の力がかかる
3)前後の歯の寿命が著しく減る
ブリッジの支えの歯は、データでは10年以内に68%が抜歯になります。

Dr.杉山
少しの位置ズレであれば、噛み合わせの調整や小さな詰め物で改善することが可能です。
ただし、抜けてから数年が経過して大きく歯が傾いてしまった場合は、歯並びの矯正を行うか、歯を大きく削って被せ物をする必要があります。

Dr.角
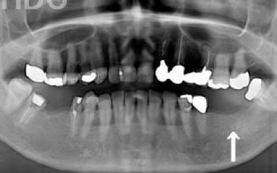
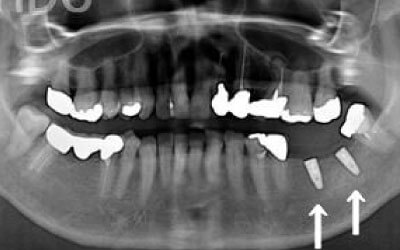
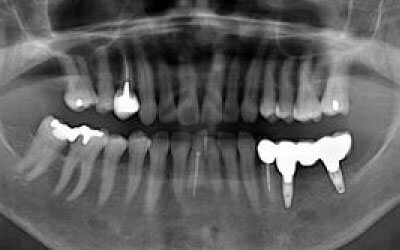
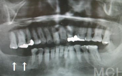
しばらくすると抜けたままでも慣れてくるかもしれませんが、実際には重大な問題が起こる可能性があります。
1 周囲の歯が早く抜ける
抜けた歯にかかるはずだった噛む力が、知らず知らずのうちに他の歯に負担をかけてしまいます。その結果、残っている歯が急に折れて抜歯に至ることがよくあります。
2 歯が傾いてくる、落ちてくる
歯は互いに支え合ってバランスを保っています。つまり、歯が抜けるとその支えがなくなり、抜けた部分の隣の歯が倒れたり、上の歯が下に沈んだりすることがあります。

Dr.宮田
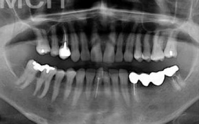
歯が抜けた後の治療について、多くの方が悩まれています。
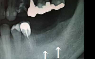
特に、抜けたのが前歯ですとなおさら気になりますよね。 今回のご質問ですが、抜けた部分の骨が薄いなどの理由で「インプラントはできない」と言われた可能性があります。
前歯はもともと骨が薄く、歯が抜けると時間の経過とともにさらに骨が痩せてきてしまうので、インプラント治療の難易度が高い場所です。 ただ結論からお話すると、インプラント治療は可能です。
なぜなら、もし仮に骨が薄くても、骨の治療によって厚みが増せば、安全にインプラント治療が行えるからです。
なお、前歯のインプラント治療をご希望の方には、注意していただきたい点が4つほどあります。 1)インプラント治療を行う前に、骨の治療が必要かもしれません。
2)骨の治療から始めると、その分、治療期間が長くなります。
3)骨の治療は、通常のインプラント治療よりも難易度が高いため、経験の豊富な先生やインプラント認定医のいる歯科医院で治療を受けることをお勧めします。
4)骨の状況をしっかり把握するためにも、CT撮影が必須となります。 また、インプラント治療においては、周囲の歯の状況や咬み合わせの問題などもしっかりと考えて治療するのがとても大切です。
そのため、残っている歯についてもきちんと診査してくれるクリニックが良いでしょう。 インプラント治療には、「インプラントを入れたら終了」というイメージがありますが、治療後、どれだけ長くインプラントがもつのかが最も大切なことなので、しっかりとメンテナンスしてもらえる歯科医院を選んでください。 まずは、いくつかの歯科医院でインプラントの相談をして比較検討し、ご自身が良いと感じた先生のところで治療を受けることをお勧めいたします。
長くもつ
インプラントを
したい
残っている歯も
守りたい
認定医による
安心の治療の
提供
インプラント
だけの治療は
したくない
より良い関係性で
長くお口の健康を
守りたい
インプラント治療では、信頼できる医院を選び、自分に合った治療プランをしっかり見つけることが重要です。
身体は一生付き合うものだからこそ、焦らずじっくりと考えてください。
私たちは丁寧な説明と充実したサポートで、安心して治療に臨める環境を整えています。
まずはお気軽にご相談ください。
ご相談いただくだけで
得られるメリット
MERIT 01
MERIT 02
MERIT 03
MERIT 04
MERIT 05
お急ぎの場合は、お気軽に
お電話ください!